Mitochondria membranes could unlock new cancer treatments
By Ian Mundell
A new company using research from the Department of Brain Sciences will look for drugs to treat brain cancers and diseases of old age.
Cancer cells grow at an extraordinary rate inside the body. To do this, they need energy, which is provided by mitochondria, the powerhouses of the cell. Dr Kambiz Alavian in the Department of Brain Sciences has been looking for ways to turn off cancer cells’ power supply. He has now co-founded a company, GlioQuell, to accelerate the development of a new kind of cancer treatment.
“We think we have a new way of looking at the mitochondria of cancer cells, and of treating cancer, based on reducing the efficiency of these beasts inside the cells,” he says
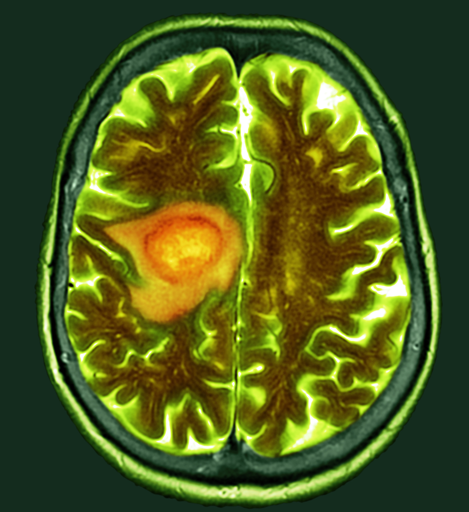
All cells in the human body contain mitochondria, structures that produce energy and biomolecules for whatever activity the cells need to carry out. Looking closely at the cells involved in glioblastoma, one of the most aggressive and deadliest forms of cancer, revealed that their mitochondria are extraordinarily efficient.
“There is almost no cell that I have seen that is as efficient as these particular cells, in terms of utilising their resources for growth,” says Dr Alavian. “They resemble mini-embryos, growing very quickly inside the brain.”

This characteristic can be exploited when looking for treatments, for example by seeking out molecules that undermine the electrochemical mechanism that mitochondria use to make energy.
“By allowing ions to leak through the mitochondrial membrane, we can render the mitochondria inefficient at supplying energy to the cells, and furthering cell growth,” Dr Alavian says. “Although mitochondria have previously been considered as therapeutic targets, this is a new and elegant way of tackling this disease, because it goes after a mechanism that is particularly active in cancer cells.”
It’s an approach that could be applied to many other kinds of cancer. “But we are particularly interested in glioblastoma, because there is no effective treatment and no cure.”
To the clinic
Dr Alavian’s lab at Imperial has designed and patented a high-throughput assay for identifying potential drugs that have this effect on glioblastoma mitochondria. GlioQuell has been set up to advance this innovation and to raise enough funding to expedite the translation of discoveries into the clinic.
We have a unique knowledge-base and set of technologies in our lab, and would like to transfer that knowhow to the company.Dr Kambiz AlavianDepartment of Brain Sciences
GlioQuell will also benefit from the knowledge built up during the research process at Imperial. “We have a unique knowledge-base and set of technologies in our lab, and would like to transfer that knowhow to the company. We want to ensure that the company is equipped to do a full spectrum of studies: to characterise the mechanism, to design and develop new drugs, and to test the new drugs in the most efficient way.”
There is another, quite different situation in which it would be useful to slow down mitochondria, which GlioQuell will also investigate. In addition to energy production, mitochondria start the process by which cells shut down and eventually die. Changing the way they function through pharmaceutical and nutraceutical intervention could also promote healthy ageing and offer ways of slowing the degeneration of muscles, brain and other tissues in old age.
Dr Alavian has co-founded GlioQuell with Dr Travis Tierney, Dr Valentin Gribkoff, and Dr Carlos Sanchez, three colleagues in the USA with extensive expertise in cancer biology, neuroscience, clinical medicine and drug development.

